Accessible Version
Edward St Dental
Our Brisbane City dental clinic will be closed from 5pm Tuesday 23rd Dec, reopening at 7.30am Friday 2nd Jan. Happy Holidays from the Edward St Dental team.
 
Periodontal Health
Healthy Gums Support Healthy Teeth

Gum care is one thing that should not be overlooked in your dental health regimen. If you have periodontal disease, our team of dental hygienists can help.

Patient getting periodontal exam at dentist in Brisbane
Do You Think You May Have Gum Disease?
Contact Us

Gum Disease Treatment Brisbane

Patient smiling in chair at gum disease dentist in Brisbane CBDHealthy gums are the foundation of a strong, beautiful smile. They act as a protective barrier and shield your teeth from bacteria while also supporting your jawbone, which keeps your teeth in place. Gums also play a vital role in your overall health, serving as a first line of defence against oral infections that can spread to other parts of your body. However, when one neglects gum health, problems like gum disease can quickly take hold. 

When one ignores their gum health, it can lead to serious problems, including gum disease. Gum disease can weaken the structure of your teeth, cause bone loss in your jaw and even lead to tooth loss. Beyond that, poor gum health has been linked to systemic conditions such as heart disease and much more.

Maintaining healthy gums is essential for protecting your teeth and keeping your smile looking its best. Regular brushing, flossing and professional cleanings help prevent plaque build-up along the gumline. Edward St Dental is here to help you keep your gums healthy and problem-free. 

 

Benefits of Periodontal Health

Maintaining periodontal health is essential for a healthy, beautiful smile and overall well-being. Healthy gums prevent disease, preserve teeth and boost confidence. Here are three key benefits of keeping your gums in top condition:

Overal Health

Healthy gums prevent harmful bacteria from entering the bloodstream, lowering inflammation throughout the body and reducing the risk of systemic diseases like heart disease, diabetes and stroke. Maintaining periodontal health supports a stronger immune system and contributes to overall wellness beyond just oral care.

Stronger Teeth and Bite

Healthy gums provide essential support to teeth, ensuring they remain firmly anchored in place. Periodontal health preserves bite strength by preventing gum recession and bone loss, making chewing and speaking easier. It also reduces the risk of tooth loss, contributing to long-term dental function and comfort.

Greater Confidence

A common cause of chronic bad breath is plaque buildup and periodontal infections, but knowing your gums are healthy and your breath is fresh can help boost confidence in social interactions. Improved gum health also enhances the appearance of a natural smile, reinforcing feelings of confidence and well-being.

Frequently Asked Questions

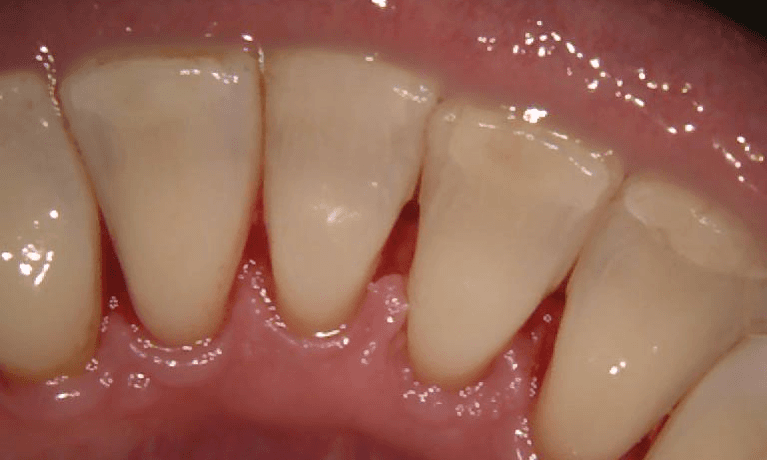
Gum disease, also called periodontal disease, is caused by an infection of the tissues that provide the foundation for your teeth, protecting your roots and keeping your teeth stable as you chew.

If our Brisbane dentists catch your gum disease early, we can cure it! This is because healthy gums are largely free from the bacteria which cause tooth cavities. But if those microscopic creatures build up, they form a layer of sticky plaque which damages gum tissue over time.

Often, this accumulation may be undetectable without a professional eye, so regular dental check-ups are still your best tool for gum disease treatment in Brisbane. These visits also include a thorough teeth clean that remove any plaque build-up from your gums and teeth.

How To Prevent Gum Disease in Brisbane

Along with your routine visits to Edward St Dental, good oral hygiene practices can help defend against its resurgence. Here are some tips:

  • Brush twice daily, every day
  • Brush thoroughly, two minutes each time
  • Check your toothbrush, ensure its soft-bristled and your technique is correct
  • Replace your toothbrush every three months
  • Use an anti-bacterial mouth rinse, especially before bed

Also, find the best method to clean your teeth at least once daily. If standard floss doesn’t work for you, try a water flosser or interdental brush. Gum disease is reversible if you take care of it early.

Contact Edward St Dental in Brisbane to learn more about preventing gum disease. 

Periodontitis is the clinical term for advanced gum disease that has been allowed to progress and become a chronic condition. Gum disease is caused by the accumulation of plaque-causing bacteria on your gums, especially below the gum line. When this plaque builds up on your teeth, it can cause tooth decay, lead to cavities and eventual tooth loss.

While gum disease may have the same consequences as tooth decay, another serious association is between periodontitis and heart disease. Research by the Australian Heart Foundation has shown that people with periodontitis are twice as likely to suffer from heart disease. This is why you should treat gum disease early, when it is reversible.

Links Between Periodontitis and Heart Disease

A Heart Foundation researcher, Dr Danielle Kamato, studied populations with periodontitis and heart disease, looking for how a bacterial infection in your gums could impact your heart. Her findings include that bacteria associated with gum disease can cause your blood vessels to become sticky.

Because heart disease is caused by fat build-up, or atherosclerosis, in your blood vessels, anything that makes them stickier will inevitably accelerate that build-up. 

Book a Periodontal Examination in Brisbane CBD

You can help reverse, resolve or at the very least minimise dangerous side effects of gum disease by seeking treatment with Edward St Dental. Contact our Brisbane dental clinic on (07) 3221 5855 to book a periodontal appointment with our dentists. 

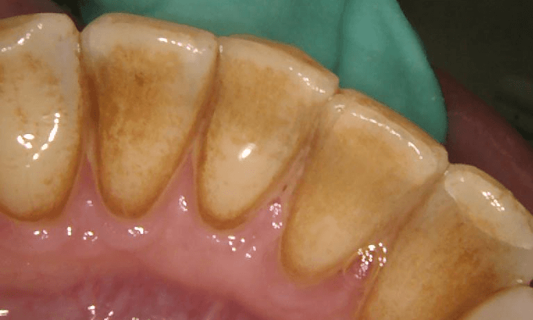
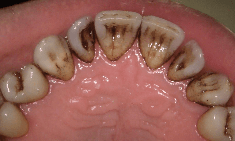
Scaling and root planing are recommended for patients who have advanced gum disease (periodontitis). When you suffer from periodontitis, the plaque and tartar (hardened plaque) build-up has moved beneath the gumline and needs to be removed. 

This can only be achieved through a deeper cleaning process known as scaling. Root planing involves smoothing the tissues after we remove the plaque, so the bacteria can't reenter. The patient remains completely numb during the deep cleaning, ensuring they feel no sensation during the process. It may take two to four visits to complete scaling and root planing since we work in individual quadrants of the mouth. 

Understanding Gum Disease

Periodontitis is advanced gum disease where you may notice symptoms such as tooth mobility, pain or tenderness when chewing and gum recession. Unfortunately, there is no cure for periodontitis; however, our team can help you successfully manage your condition through scaling and root planing, as well as additional periodontal treatments and routine cleans throughout the year, to help maintain your oral health. 

Gingivitis is early gum disease where you may encounter gums that bleed during brushing, swollen or irritated gums or chronic bad breath. Our team can help you treat gingivitis and, in some cases, even reverse it.  

We Invite You to Call Our Brisbane Dental Clinic

If you'd like more information about gum disease treatment in Brisbane, we invite your call to Edward St Dental. 

What Is Gum Disease?

Gum disease, also known as periodontitis, is a serious oral health condition that threatens your teeth and gums. As one of the leading causes of tooth loss, periodontitis can result in losing a single tooth or multiple teeth. In fact, around one in twenty Australians lose all their teeth due to this condition. Despite its severity, many people of varying ages remain unaware they have gum disease.

Gum disease often progresses silently as it generally causes no pain in its early stages. However, there are signs you can look out for to detect the condition early:

  • Red, swollen gums
  • Persistent bad breath
  • Bleeding gums, especially when you brush your teeth
  • Loose teeth
  • Gum recession, or gums that pull away from the teeth
  • Tartar build-up around the gumline

The Progressive Nature of Gum Disease

One crucial thing to understand about gum disease is that it doesn’t stop or improve on its own. It’s a progressive condition caused by a bacterial infection in the gum tissue. The body’s immune system fights to combat the infection, leading to chronic inflammation. Over time, this can cause gum recession, bone loss and loose teeth. 

When left untreated, gum disease can have broader implications for your overall health. Research shows a strong connection between chronic periodontitis and serious health conditions such as heart disease, diabetes, stroke and even complications during pregnancy, including pre-term birth and low birth weight.

Causes of Gum Disease

Gum disease often starts with a genetic predisposition, but poor oral hygiene habits greatly exacerbate its progression. Inadequate brushing and flossing allow plaque—a sticky film of bacteria—to build up on the teeth and gums. Over time, this plaque hardens into tartar, irritating the gum tissue and triggering an inflammatory response.

Flossing is critical to preventing gum disease. Forgetting to floss allows plaque to collect in areas that are harder to reach, such as between the teeth and along the gumline.

Recognising the Impacts of Gum Disease

Once educated on the seriousness of gum disease, many patients become highly motivated to brush and floss regularly. Developing a consistent oral hygiene routine—brushing your teeth twice daily and flossing daily—can significantly improve gum health and prevent disease progression.

At Edward St Dental, we provide personalised support to help you manage your oral health. Our team of dental hygienists can guide you in creating a periodontal maintenance plan tailored to your specific needs.

Meet Our Team of Clinicians:

Headshot of dental hygienist at Brisbane dentist

Emma Bowtell
Dental Hygienist

Emma Bowtell started as a dental assistant in a general dental practice in 2006. She excelled at clean and polish appointments and worked for a periodontist whose team performed cleans ...

Headshot of hygienist at dentist near me Brisbane CBD

Katie Mateja
Dental Hygienist

Katie is from Brisbane and earned her Bachelor of Applied Health Science (Oral Health) in 2009 at the University of Queensland. She was awarded the Dean’s Academic Commendation for Academic ...

Headshot of dental hygienist at dentist in Brisbane CBD

Kylie Brideson
Dental Hygienist

Kylie was born in Toowoomba and started her dental career as a dental assistant in 2000. Then in 2007, she earned her Bachelor of Oral Health from the University of ...

Tam Nguyen - Dental Hygienist

Tam Nguyen
Dental Hygienist

Tam is a dedicated dental hygienist passionate about making a positive and lasting impact on her patients' oral health. She strives to help patients develop better habits and feel comfortable ...

Dr Ralph French , BDSc - Dentist

Dr Ralph French BDSc
Dentist

Dr Ralph French has dedicated over 40 years to helping patients achieve and maintain their dental wellness. Originally from Victoria, he graduated from the University of Queensland in ...

Dr Dan Robbins , BDSc (Hons I) - Dentist

Dr Dan Robbins BDSc (Hons I)
Dentist

Since graduating with Honours from the University of Queensland in 2005, Dr Dan Robbins has dedicated two decades to providing dental care. After successfully owning and operating his own ...

Your Periodontal Consultation at Edward St Dental in Brisbane City

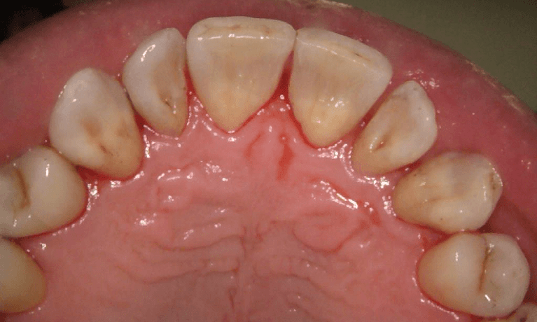
At Edward St Dental, we take a thorough and strategic approach to managing gum disease. During your periodontal consultation, our dental team assesses six specific areas around each tooth to determine the extent of gum disease. Based on this assessment, our team places patients into one of two treatment categories:

  • Periodontal therapy managed at Edward St Dental
  • Periodontal therapy led by a periodontist (gum specialist)

Following the initial evaluation, treatment progresses in two steps:

Treatment Phase

This treatment phase is like giving your gums the spa treatment they deserve. Our dental hygienists start with scaling and root planing, which are just fancy words for a deep-cleaning process that clears away tartar and bacteria from below the gumline. It’s like hitting the reset button for your gums, reducing inflammation and allowing them to heal.

Management Phase

Once your gums are back on track, the management phase kicks in to keep them healthy and happy. This phase focuses on maintenance and stopping gum disease from making a comeback. Regular professional cleanings every few months are key to controlling things and ensuring your gums stay in good shape. With the right care, your gums can stay strong and problem-free. 

Preventing and Managing Gum Disease

Gum disease prevention requires a proactive approach that combines regular professional care with diligent at-home oral hygiene practices. At Edward St Dental, our team is dedicated to helping you maintain optimal oral health.

Professional Cleanings and Modern Technology

Our team uses advanced technology, such as the EMS Airflow® Master, to provide thorough and gentle cleanings. This leading-edge device cleans teeth efficiently while reducing discomfort, minimising ultrasonic vibrations by up to 80 per cent. The Airflow Master is particularly effective in removing plaque, tartar and stains, even in hard-to-reach areas.

Through regular cleanings, our team can help you prevent gum disease or manage its progression. These appointments also provide an opportunity to educate patients about proper brushing and flossing techniques and the importance of oral hygiene in preventing gum disease.

The Importance of Scaling and Root Planing

Scaling and root planing is a cornerstone treatment for patients with moderate to severe gum disease. This treatment involves removing plaque and tartar from below the gumline (scaling) and smoothing the tooth roots to help gum tissue reattach (root planing). Scaling and root planing target the origin of infection to stop disease progression and promote healthier gums. For patients with advanced periodontitis, we can combine scaling and root planing with other treatments, such as antibiotic therapy or periodontal surgery. 

As always, our Brisbane dentists at Edward St Dental will do everything we can to protect your smile and oral health. Your best interests are always at heart, and we will keep you informed through every step so you can make your own decisions about your treatments. 

The Role of Oral Hygiene in Gum Disease Prevention

While professional care is essential, maintaining a proper oral hygiene routine at home is just as important. To protect your gums, follow these tips:

  • Brush your teeth twice daily. — Brush gently with a soft-bristled toothbrush and fluoride toothpaste to clean your teeth thoroughly. Be thorough and very gently along and around the gumline, as this is where plaque often builds up. 
  • Floss daily. — Flossing removes debris and plaque from between the teeth and along the gumline.
  • Rinse with mouthwash. — An antimicrobial mouthwash can help reduce bacteria and keep your gums healthy.

The Consequences of Untreated Gum Disease

When left untreated, gum disease can lead to severe consequences for your oral health and overall well-being. Advanced gum disease can cause significant bone loss, destabilising the teeth and increasing the likelihood of tooth loss. Additionally, the infection can spread to other parts of the body and lead to systemic health issues such as heart disease and diabetes.

Featured Blog Posts - Periodontal Health

February 25, 2025

The Health Risks of Untreated Gum Disease

close up of person pointing to gums

Gum disease may start quietly, but if left untreated, it doesn’t stay that way. What begins as a minor irritation can slowly progress into something far more serious, affecting your smile and overall well-being.

The good news? It’s preventable and treatable, especially when caught early. Don’t wait for small signs ...

December 19, 2023

Understanding Gum Disease: Prevention and Treatment in Brisbane

brisbane woman smiling

Gum disease, often called periodontal disease, is a serious oral health condition that your Brisbane dentist must treat. Without treatment, the consequences can be severe.

While advanced gum disease is not curable, it remains treatable. Additionally, with diligence and healthy habits, it is preventable.

If you’ve been diagnosed with gum disease or ...

December 20, 2022

How to Treat Gingivitis in Brisbane

Patient smiling in treatment chair at gum disease dentist in Brisbane

Most of us consider it common sense that you only build your house on a solid foundation. But for some, this wisdom doesn’t transfer to their teeth because, in the same way, stable concrete is vital for a home’s foundation, and healthy gums are essential. After all, they are your ...

Prevention Is the Best Cure

The good news is that gum disease is preventable and manageable with early intervention. You can maintain healthy gums and a strong smile by staying consistent with your oral hygiene routine, arranging regular dental cleanings and addressing gum issues promptly.

Restore Your Gum Health with General Dentistry in Brisbane CBD

At Edward St Dental, we’ve got your back when it comes to your smile. From preventive care to scaling and root planing to tips for stepping up your oral hygiene game, we’re here to make your healthiest smile easier to achieve. 

We look forward to welcoming you into our dental clinic for life-long periodontal health. You may contact us if you suspect you have gum disease, and one of our dental hygienists will help you regain your health by organising a customised treatment plan for you. We invite you to call Edward St Dental on (07) 3221 5855 to book an exam with one of our dentists in Brisbane. 

Edward St Dental is located in Brisbane CBD, but patients visit our practice from all over Brisbane, including Bowen Hills, Spring Hill, Fortitude Valley, Paddington, New Farm, Teneriffe, Rosalie and Milton.

We invite you to contact us today

Gum Disease Can Impact Your Overall Health
Contact Us
Any surgical or invasive procedure carries risks, and we recommend seeking a second opinion from an appropriately qualified health practitioner before proceeding.
Any surgical or invasive procedure carries risks. Before proceeding, you should seek a second opinion from an appropriately qualified health practitioner.