Before and After Photos
Welcome to Edward St Dental, located in Brisbane. We proudly help our cherished patients attain their dream smiles. Please take a moment to look over some of our handiwork in the form of before and after photos of our patients. Then, when you are ready to discuss the possibilities for your own smile, we welcome your call.
*The images shown in our Smile Gallery are examples of dental treatments provided at our practice. Individual results will vary depending on each patient’s dental needs and circumstances.
 
 
Client: unhappy with crowding along the upper front teeth and colour of teeth.
Solution: Clear aligner treatment to move the teeth into the smile zone, followed by teeth whitening. Treatment time 11 months.
Case performed by Dr Matthew Pulvirenti.
 
 
Client: adolescent client and parents unhappy with generalized crowding and (dentist concerned about) deep overbite.
Solution: Clear aligner treatment to move the teeth into a more correct, functional and aesthetic position. Treatment time 18 months.
Case performed by Dr Matthew Pulvirenti.
 
 
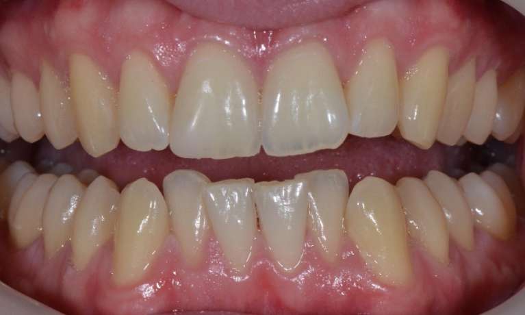
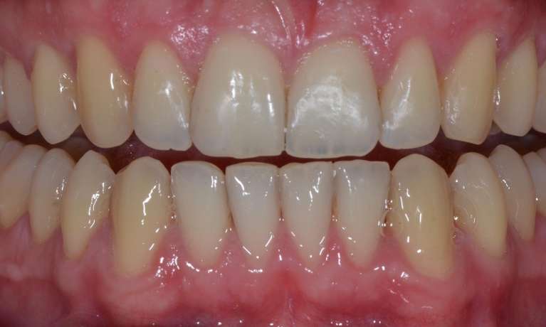
Client: Unhappy with the position of the front four teeth: the centre two are large and bend back, while the next two front teeth are small and sit forward. Also, unhappy with the “dark side corridor” on both sides between the back teeth and the lips.
Solution: Clear Aligner treatment; the teeth were moved (or aligned) into their correct position resulting in a smile that naturally fills the lips and face. Treatment time 9 months.
Case performed by Dr Matthew Pulvirenti.
 
 
Client: unhappy with the colour and “age” of the teeth. The colour request was beyond what teeth whitening could provide.
Solution: ten porcelain crowns placed to establish the client’s colour request and a more youthful-looking smile.
Case performed by Dr Matthew Pulvirenti.
 
 
Client: unhappy with the shape and worn look of the upper front teeth and concerned for the health of the two upper front teeth.
Solution: 26 porcelain crowns placed over all teeth. When all teeth have crowns placed over them, the treatment is known as Full Mouth Rehabilitation or Occlusal Rehabilitation. This extreme treatment was required to restore the shape and length of the front six teeth and for the survival of the teeth.
Case performed by Dr Matthew Pulvirenti.
 
 
Client: Unhappy with the colour, the wear and the missing teeth in the upper left quadrant. The client mentioned that he wanted his teeth and overall smile to look younger.
Solution: Twelve porcelain crowns and bridgework placed on the upper teeth. Note the teeth are lighter in colour, longer, more uniform and the smile is slightly wider to “fill” the shape of the mouth.
Case performed by Matthew Pulvirenti.
 
 
Client: unhappy with a rollercoaster smile, missing teeth showing in photos, and every tooth a different colour.
Solution: porcelain crowns and porcelain bridgework on the upper twelve front teeth, resulting in restored health, restored missing teeth, and uniform straight-looking smile.
Case performed by Dr Matthew Pulvirenti.
 
 
Client: unhappy with upper front six teeth. The upper and lower back teeth were restored with porcelain crowns by Dr Pulvirenti about 10 years ago. The upper front six teeth have large resin fillings that are now worn and are breaking down.
Solution: six porcelain crowns placed over the front six teeth. Special care was taken to copy the existing shape of the teeth as the client requested to keep the natural contour of their smile.
Case performed by Dr Matthew Pulvirenti.
 
 
Client: unhappy with the colour of a single upper front tooth after root canal treatment many years ago. The tooth is completely strong and healthy.
Solution: Teeth whitening on all teeth and one porcelain veneer to match the exact colour and character of the twin central incisor tooth.
Case performed by Dr Matthew Pulvirenti.
 
 
Digital Photos, Digital Scans (to replace dental impressions) and Digital Smile Design technology are used to perform all Cosmetic Smile Makeovers at Edward St Dental. This enables the client to see what their new smile will look like before the treatment starts and provides comfort and confidence to the patient's smile makeover journey.
Case performed by Dr Matthew Pulvirenti.
 
 
Client: unhappy with the colour of their teeth, their “small teeth”, and how their smile appears “small” or “unseen” in photos. The colour desired is beyond what teeth whitening can achieve.
Solution: professional teeth whitening to remove years of tinting followed by ten porcelain veneers on the upper front ten teeth resulting in a bright, full and straight smile the client has always desired.
Case performed by Dr Matthew Pulvirenti.
 
 
Client: unhappy with dental crowding. The client also has two baby teeth still present in the smile as the corresponding permanent teeth are missing.
Solution: Clear Aligner treatment to move the upper front teeth into the smile zone, and re-shape the two baby teeth with aesthetic composite resin to copy the shape of permanent teeth. Treatment time 14 months.
Case performed by Dr Matthew Pulvirenti.
 
 
Client: unhappy with shade of teeth. Not concerned about mild crowding.
Solution: In-chair teeth whitening. Treatment time 60 minutes.
Case performed by Dr Matthew Pulvirenti.
 
 
 
 
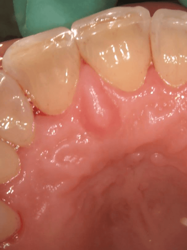
Client: Presented for a New Patient Check up with periodontal issues.
Solution: After a thorough examination and cleaning of the teeth and gums, we followed through with more targeted interventions such as scaling and root planing. For any periodontal issues, our hygienists recommend a specific course of treatment depending on the severity of the patient's periodontal disease and their individual needs and preferences.
Case performed by Emma Bowtell.
 
 
Client: existing upper porcelain veneers placed over 20 years ago were worn and chipped, and lower existing composite resin veneers were breaking away and leaking stains around the margins. Client was concerned about the "aged appearance" of the teeth.
Solution: 8 porcelain veneers upper front teeth and 6 porcelain veneers lower front teeth. The result is a uniform, youthful and natural smile. Our Digital Smile Design workflow ensured a predictable and time-efficient outcome. Our digital scanners meant that the treatment was delivered without the need for traditional runny impressions.
Case performed by Dr Matthew Pulvirenti.
 
 
Client: Came in concerned about the porcelain crown on their front tooth that did not match the other teeth.
Solution: Replace the existing crown with a porcelain crown that exactly matched the shade of their other teeth. This outcome was achieved using digital photography. The client was not required to visit the ceramist dental lab for shade capture.
Case performed by Dr Matthew Pulvirenti.
 
 
Client: concerns were with the wear of the front teeth resulting in a short, aged-looking smile and the narrow width of the smile resulting in a dark corridor on the sides of the smile.
Solution: 10 Porcelain veneers on the upper front teeth. Using Digital Smile Design workflow, the client was able to "try on" and "sign off" on the design before the fabrication of the veneers, which resulted in a comfortable and predictable experience for the client. Using our digital scanners, meant no traditional runny dental impressions were used. Great outcome!
Case performed by Dr Matthew Pulvirenti.
 
 
Client: had two concerns. 1. A lifetime crossbite causing "rollercoaster" wear of the front teeth. 2. A retained baby eye tooth becoming loose. Patient feels like their teeth look "aged" and desires a more youthful appearance.
Solution: 14 Porcelain Crowns in the upper teeth. The baby tooth was removed and a three-unit porcelain bridge was used to replace it (this made up 3 of the 14 porcelain crowns). The general ethos is to treat as few teeth as possible. For this case, however, the dental crossbite meant that all of the upper teeth required redesigning with crowns. Digital smile design and ...
 
 
Client: Unhappy with the appearance of the front teeth, mostly due to a lifetime of dental fillings being placed and replaced repeatedly. While tooth-coloured fillings "blend in" with natural teeth, if the tooth becomes heavily filled, the fillings start to look artificial and dull. The client also had missing back teeth and was unhappy wearing a removable denture.
Solution: 12 Porcelain crowns (six single-unit crowns and two 3-unit bridges) were placed. The patient now has a fixed solution and a natural smile they are proud to own.
Case performed by Dr Malcolm Campbell.
 
 
Client: The four upper front crowns were placed over 25 years ago and now have a grey appearance around the gum line (a consequence of metal-based crowns). The crowns were broken and had "add on" repairs with mixed success and the surrounding back teeth also had large fillings. The overall smile looked "aged".
Solution: 8 Porcelain Crowns were placed on the upper front teeth. Digital Smile Design technology was utilized giving the client a youthful, uniform and natural smile.
Case performed by Dr Matthew Pulvirenti.
 
 
Unfortunately, the before photo is over cropped but this case is so nice that it had to be included.
Client: unhappy with aged, chipped, discoloured teeth caused by years of dental repair.
Solution: 6 Porcelain Crowns. The workflow is made so easy for the client using Digital Smile Design and Digital Scans. The client has a stable, youthful and natural smile.
Case performed by Dr Matthew Pulvirenti.
 
 
 
 
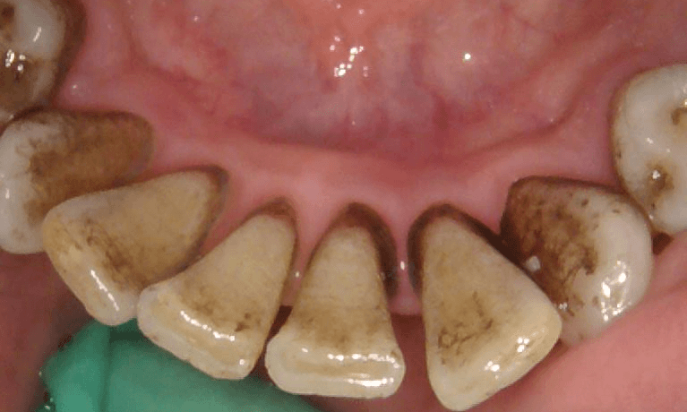
Client: Arrived for their routine teeth cleaning after some time. There was visible plaque buildup behind the anterior (front) teeth.
Solution: Our skilled hygienist began by conducting a meticulous examination of the teeth and gums, identifying areas of concern. Utilising the gentle yet highly effective Airflow device, they employed a controlled stream of water, air, and fine powder to remove plaque and stains from the tooth surfaces. This innovative method ensures a thorough cleaning experience, targeting even the most hard-to-reach areas.
Following the use of our Airflow device, our hygienist meticulously scaled and polished the teeth, leaving them smooth and ...
 
 
Client: Unhappy with a narrow smile at the sides, the cant of the smile line, the notching near the gumline of the two front teeth, and the shade of the teeth.
Solution: Full mouth Zoom teeth whitening and ten porcelain veneers were administered resulting in the shade of the patient’s choice and a full, straight smile.
 
 
Client: Was unhappy with the wear of the lower teeth and the yellow color, which gave an aging appearance to both upper and lower teeth. As time went on, the two upper porcelain crowns looked less and less natural compared to the surrounding natural teeth.
Solution: Full mouth Zoom Teeth Whitening was performed to achieve the patient's ideal shade, followed by the placement of six upper and four lower porcelain crowns. The chosen shade matched the age of the patient, and the result was a youthful and natural-looking smile our client was thrilled with.
 
 
Client: The two upper teeth next to the center teeth (lateral incisors) were deciduous (baby) teeth and were mobile, about to fall out. The client had known that this would eventually happen for many years but was only 24 years old.
Solutions: The treatment started with Zoom teeth whitening to achieve the patient's ideal shade, followed by the placement of two dental implants and implant-restored porcelain crowns. Our objective was for the two “fake” teeth to look as natural as possible, and to give the impression that no dental procedure had been performed. Both the client and dentist were thrilled with ...
 
 
Client: existing 30-year-old porcelain veneers on the upper six teeth were breaking and looking unsightly around the receding gumline. The lower composite resin veneers, placed ten years ago, also reached their shelf-life and began leaking and breaking away.
Solution: Eight upper and six lower porcelain veneers were placed. The patient now has upper and lower uniform and matching teeth. The shade matches the patient’s age while still achieving a youthful and vibrant smile. The patient is thrilled not only with the outcome but also with the ease of the procedure considering 14 teeth were treated.
Our Digital Smile Design (DSD) process, digital ...
 
 
Client: Was unhappy with her smile due to the wear and notching near the gumline, the wavy smile line, the mild crowding, the shade, the amount of gum showing, and, unknown to the patient, moderate periodontitis
Solution: The treatment began with periodontal therapy by both Emma, our lead dental hygienist, and periodontal surgery (a gum lift to reduce the gummy smile) with our referring periodontist. This was followed by Zoom teeth whitening and the placement of a combination of ten porcelain veneers and crowns.
The result is simply outstanding. The client has achieved her dream smile, healthy gums and bone to support ...
 
 
Client: Unhappy with shade of teeth, severe wear, dark brown colour between the teeth even after professional scale and clean.
Solution: Zoom in-chair teeth whitening full mouth and eight Porcelain Veneers. The smile arc runs perfectly along the lower lip line giving a youthful and healthy looking natural smile.
 
 
 
 
Patient: Was concerned about general crowding in their upper and lower teeth.
Solution: Went through a treatment plan process (digitally planned using intraoral scans of the teeth) and we were able to digitally place teeth in ideal positions during the planning stage and treatment executed with Invisalign.
Case performed by Dr Matthew Pulvirenti
 
 
 
 
Client: Adult male concerned about his old discoloured crowns that needed replacing, as well as discoloured teeth.
Solution: Planning using Digital Smile Design. Teeth were whitened prior to replacing existing restorations.
Case performed by Dr Matthew Pulvirenti.