Before and After Photos: CEREC Crowns and Bridges
Welcome to Edward St Dental, located in Brisbane. We proudly help our cherished patients attain their dream smiles. Please take a moment to look over some of our handiwork in the form of before and after photos of our patients. Then, when you are ready to discuss the possibilities for your own smile, we welcome your call.
*The images shown in our Smile Gallery are examples of dental treatments provided at our practice. Individual results will vary depending on each patient's dental needs and circumstances.


Client: unhappy with the shape and worn look of the upper front teeth and concerned for the health of the two upper front teeth.
Solution: 26 porcelain crowns placed over all teeth. When all teeth have crowns placed over them, the treatment is known as Full Mouth Rehabilitation or Occlusal Rehabilitation. This extreme treatment was required to restore the shape and length of the front six teeth and for the survival of the teeth.
Case performed by Dr Matthew Pulvirenti.


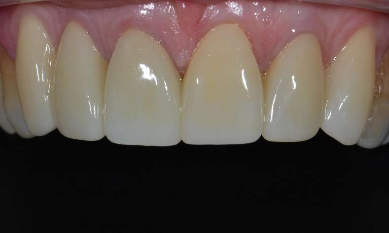
Client: The four upper front crowns were placed over 25 years ago and now have a grey appearance around the gum line (a consequence of metal-based crowns). The crowns were broken and had "add on" repairs with mixed success and the surrounding back teeth also had large fillings. The overall smile looked "aged".
Solution: 8 Porcelain Crowns were placed on the upper front teeth. Digital Smile Design technology was utilized giving the client a youthful, uniform and natural smile.
Case performed by Dr Matthew Pulvirenti.


Client: Unhappy with the appearance of the front teeth, mostly due to a lifetime of dental fillings being placed and replaced repeatedly. While tooth-coloured fillings "blend in" with natural teeth, if the tooth becomes heavily filled, the fillings start to look artificial and dull. The client also had missing back teeth and was unhappy wearing a removable denture.
Solution: 12 Porcelain crowns (six single-unit crowns and two 3-unit bridges) were placed. The patient now has a fixed solution and a natural smile they are proud to own.
Case performed by Dr Malcolm Campbell.


Client: had two concerns. 1. A lifetime crossbite causing "rollercoaster" wear of the front teeth. 2. A retained baby eye tooth becoming loose. Patient feels like their teeth look "aged" and desires a more youthful appearance.
Solution: 14 Porcelain Crowns in the upper teeth. The baby tooth was removed and a three-unit porcelain bridge was used to replace it (this made up 3 of the 14 porcelain crowns). The general ethos is to treat as few teeth as possible. For this case, however, the dental crossbite meant that all of the upper teeth required redesigning with crowns. Digital smile design and ...


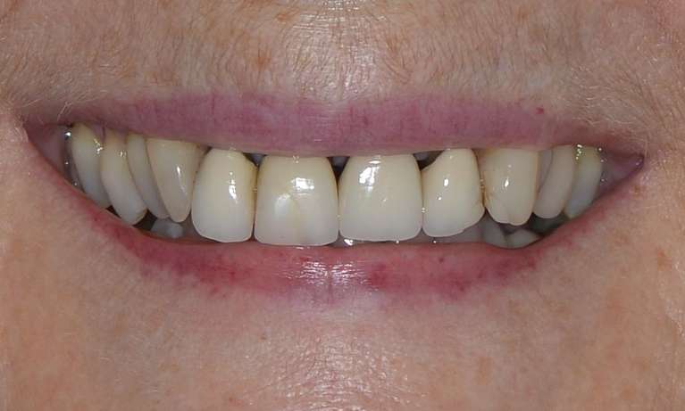
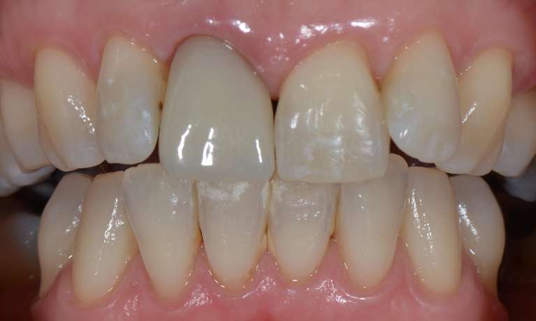
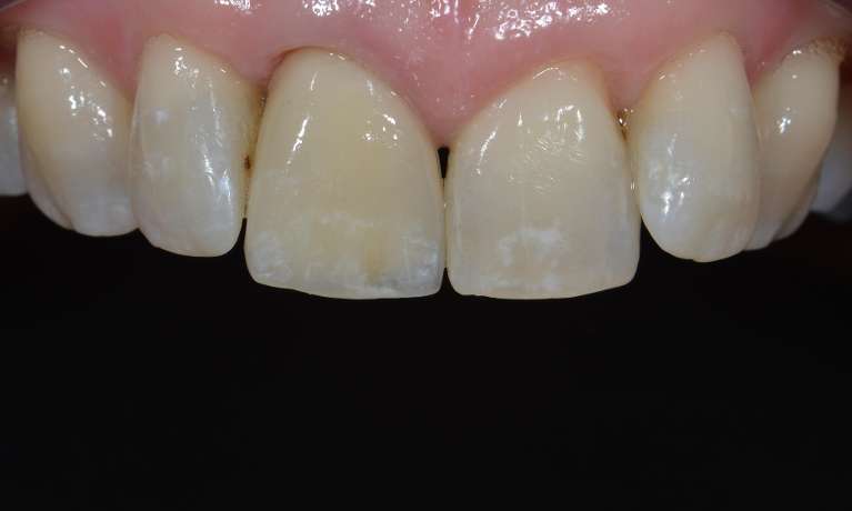
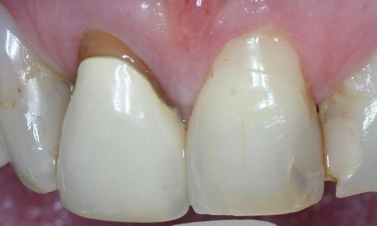
Client: Came in concerned about the porcelain crown on their front tooth that did not match the other teeth.
Solution: Replace the existing crown with a porcelain crown that exactly matched the shade of their other teeth. This outcome was achieved using digital photography. The client was not required to visit the ceramist dental lab for shade capture.
Case performed by Dr Matthew Pulvirenti.


Client: unhappy with the colour of their teeth, their “small teeth”, and how their smile appears “small” or “unseen” in photos. The colour desired is beyond what teeth whitening can achieve.
Solution: professional teeth whitening to remove years of tinting followed by ten porcelain veneers on the upper front ten teeth resulting in a bright, full and straight smile the client has always desired.
Case performed by Dr Matthew Pulvirenti.


Client: unhappy with the colour of a single upper front tooth after root canal treatment many years ago. The tooth is completely strong and healthy.
Solution: Teeth whitening on all teeth and one porcelain veneer to match the exact colour and character of the twin central incisor tooth.
Case performed by Dr Matthew Pulvirenti.


Client: unhappy with upper front six teeth. The upper and lower back teeth were restored with porcelain crowns by Dr Pulvirenti about 10 years ago. The upper front six teeth have large resin fillings that are now worn and are breaking down.
Solution: six porcelain crowns placed over the front six teeth. Special care was taken to copy the existing shape of the teeth as the client requested to keep the natural contour of their smile.
Case performed by Dr Matthew Pulvirenti.


Client: unhappy with a rollercoaster smile, missing teeth showing in photos, and every tooth a different colour.
Solution: porcelain crowns and porcelain bridgework on the upper twelve front teeth, resulting in restored health, restored missing teeth, and uniform straight-looking smile.
Case performed by Dr Matthew Pulvirenti.


Client: Unhappy with the colour, the wear and the missing teeth in the upper left quadrant. The client mentioned that he wanted his teeth and overall smile to look younger.
Solution: Twelve porcelain crowns and bridgework placed on the upper teeth. Note the teeth are lighter in colour, longer, more uniform and the smile is slightly wider to “fill” the shape of the mouth.
Case performed by Matthew Pulvirenti.


Client: unhappy with the colour and “age” of the teeth. The colour request was beyond what teeth whitening could provide.
Solution: ten porcelain crowns placed to establish the client’s colour request and a more youthful-looking smile.
Case performed by Dr Matthew Pulvirenti.


Unfortunately, the before photo is over cropped but this case is so nice that it had to be included.
Client: unhappy with aged, chipped, discoloured teeth caused by years of dental repair.
Solution: 6 Porcelain Crowns. The workflow is made so easy for the client using Digital Smile Design and Digital Scans. The client has a stable, youthful and natural smile.
Case performed by Dr Matthew Pulvirenti.