Accessible Version
Edward St Dental
Our Brisbane City dental clinic will be closed from 5pm Tuesday 23rd Dec, reopening at 7.30am Friday 2nd Jan. Happy Holidays from the Edward St Dental team.
 

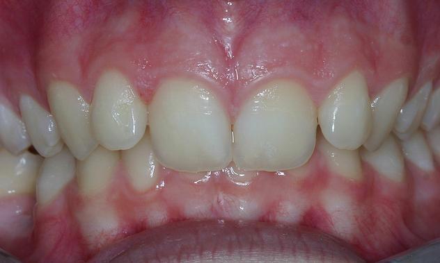
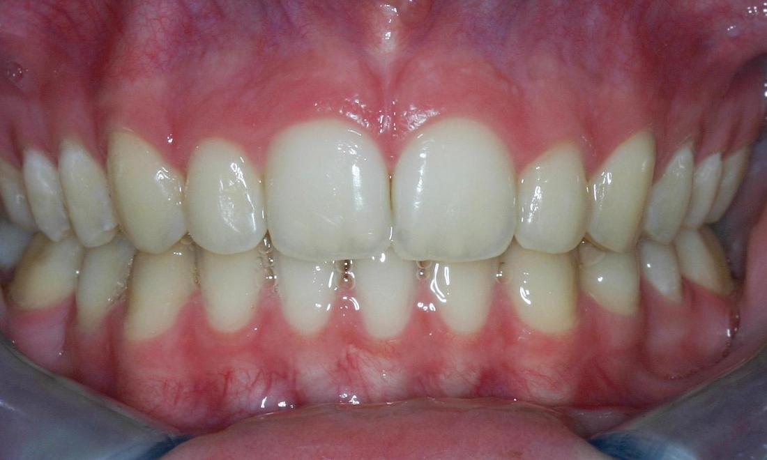
Improved Bite Using Clear Aligners

Client: adolescent client and parents unhappy with generalized crowding and (dentist concerned about) deep overbite. 

Solution: Clear aligner treatment to move the teeth into a more correct, functional and aesthetic position. Treatment time 18 months.

Case performed by Dr Matthew Pulvirenti.

Service Performed By:

Dr Matthew Pulvirenti
Close up of teeth before Invisalign clear braces in Brisbane Teeth after Invisalign aligners in Brisbane CBD
Book Your First Visit
Any surgical or invasive procedure carries risks, and we recommend seeking a second opinion from an appropriately qualified health practitioner before proceeding.
Any surgical or invasive procedure carries risks. Before proceeding, you should seek a second opinion from an appropriately qualified health practitioner.