Accessible Version
Edward St Dental

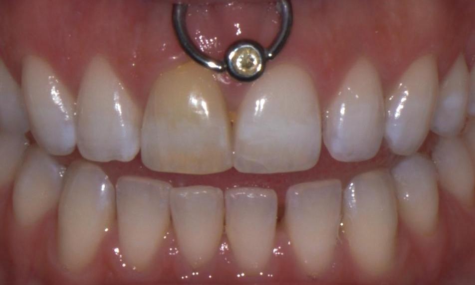
One Porcelain Crown on Front Tooth & Teeth Whitening

Client: unhappy with the colour of a single upper front tooth after root canal treatment many years ago.  The tooth is completely strong and healthy. 

Solution:  Teeth whitening on all teeth and one porcelain veneer to match the exact colour and character of the twin central incisor tooth. 

Case performed by Dr Matthew Pulvirenti.

Patient with discoloured front tooth at Brisbane dental clinic Results from dental crown procedure in Brisbane CBD
Improve your smile today – call to schedule a consultation!
Disclaimer: All surgical or invasive procedures carry risks. Before proceeding, you should seek a second opinion from an appropriately qualified health practitioner. The information throughout this site is not intended to be taken as medical advice.
Any surgical or invasive procedure carries risks. Before proceeding, you should seek a second opinion from an appropriately qualified health practitioner.